Home
Doctors
Treatments
Gallery
Appointment
Contact
×
Home
Doctors
Treatments
Gallery
Appointment
Contact
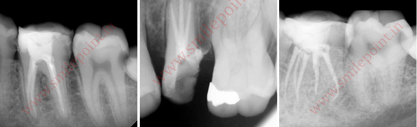
Computer Assisted Root Canal Treatment
Back to All Treatments